Endodoncias
Endodoncia: Es la parte de la odontología que estudia las enfermedades de la pulpa del diente y las técnicas para su curación; para asi poder mantenerlo en la boca, evitando su extracción.
Una endodoncia consiste en eliminar el contenido del tejido pulpar de un diente. La pulpa esta formada por vasos y nervios que alimentan el diente, que en ocasiones se ven afectados por caries, fracturas, etc. y ese contenido pulpar debe ser eliminado.
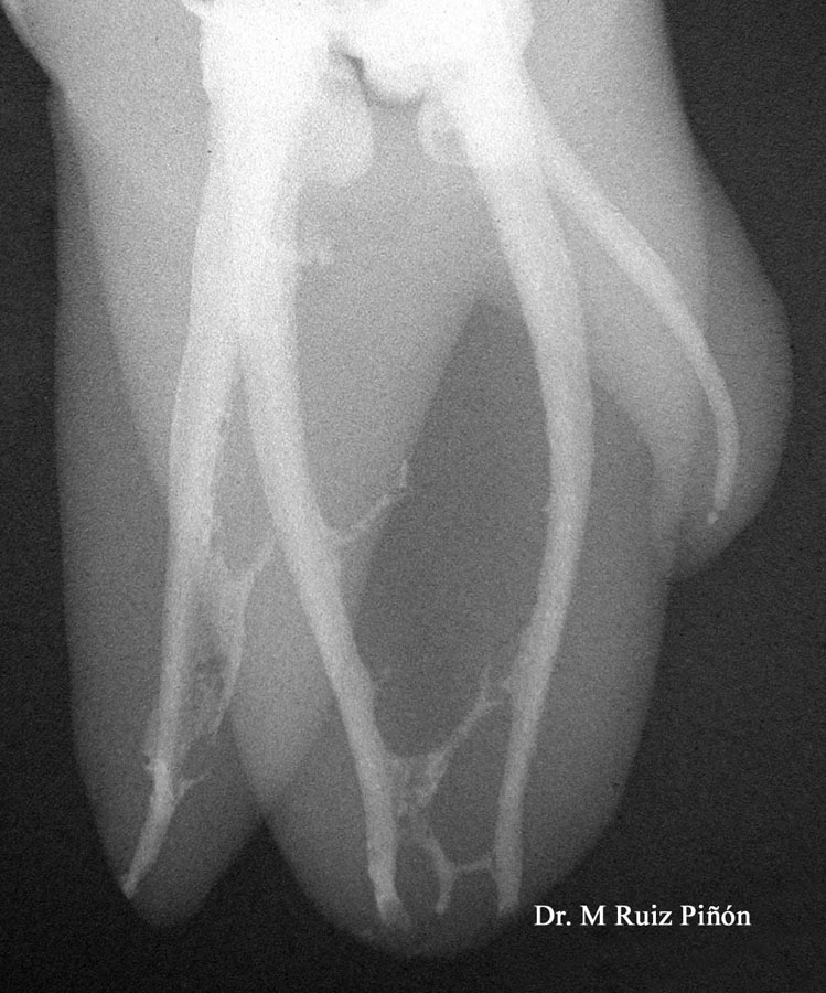
Para poder estudiar la compleja anatomía interna de los dientes nos ayudamos de la radiología convencional y además del CBCT para poder trabadjar con seguridad y diagnosticar correctamente cada caso.
El uso del microscopio es el otro gran avance de la endodoncia moderna, que permite diagnosticar y tratar dientes complejos obteniendo resultados superiores.
Utilizamos agentes químicos y limas para poder eliminar los restos de pulpa, además de bacterias, restos de dentina etc.; para poder finalmente sellarlo de una manera hermética y definitiva en el tiempo con modernos sistemas de gutapercha caliente.
Problemas:
Normalmente los conductos radiculares por donde se dispone la pulpa se ramifican creando en su conjunto lo que denomina un sistema de conductos (1, 2); además no son rectos, y en ocasiones presentan grandes curvaturas que son muy difíciles de limpiar y sellar tridimensionalmente(3-4). Las calcificaciones, i
Más noticias sobre ENDODONCIAS en nuestro BLOG
Pincha aquí



