Clínica dental Manuel Ruiz
  • Portada
  • Equipo
  • Instalaciones
  • Especialidades
    • Microscopio
    • Radiología 3D
    • Formación
  • Tratamientos
  • Blog
  • Contacto y horarios
  • Portada
  • Equipo
  • Instalaciones
  • Especialidades
    • Microscopio
    • Radiología 3D
    • Formación
  • Tratamientos
  • Blog
  • Contacto y horarios

Blanqueamiento

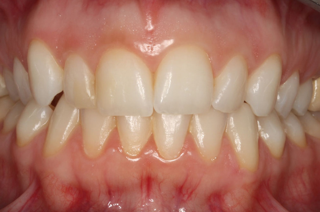
sonrisa previo al blanqueamiento
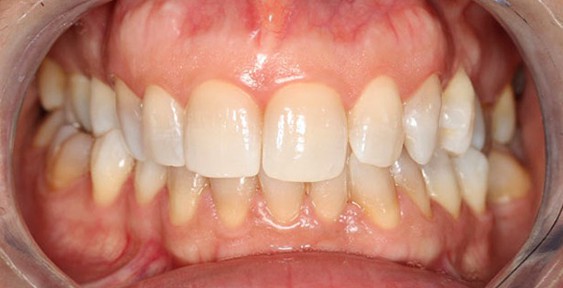
sonrisa después del blanqueamiento
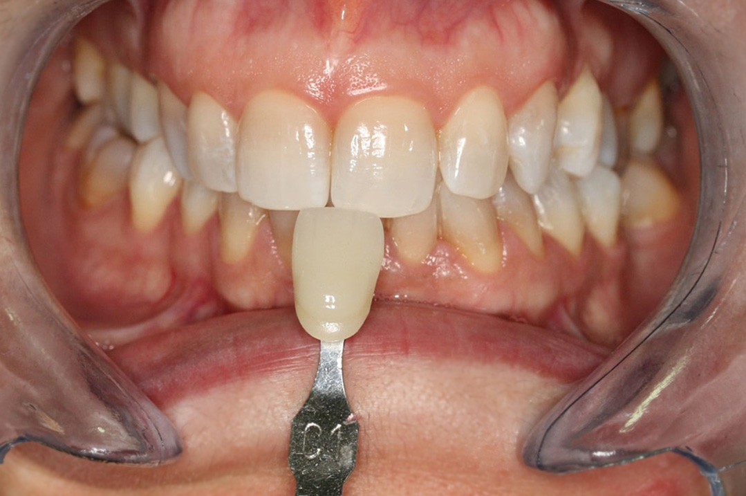
color final
color final
color final
0

Blanqueamiento

Hay dos tipos de blanqueamiento:

  • Blanqueamiento no vital: sobre dientes endodonciados donde introducimos el agente blanqueador en el interior del diente y dejamos que actue durante varios dias. Se obtura el diente provisionalmente entre sesiones y cuando conseguimos el tono deseado, obturamos el diente de manera definitiva.
  • Blanqueamiento vital: Usamos una técnica combinada Una primera parte en clínica donde utilizamos agentes blanqueadores de alta concentración que consiguen un rápido blanqueamiento en una o dos sesiones, y una segunda parte ambulatoria, donde se realizan unas férulas individualizadas para cada paciente donde se dispensa el agente blanqueador durante 3 ó 4 semanas hasta lograr el resultado deseado.

Más noticias sobre BLANQUEAMIENTOS en nuestro BLOG

Pincha aquí

Especialidades

  • Microscopio
  • Radiología 3D
  • Formación

Redes Sociales

Lo más reciente

  • PROTOCOLO COVID-19 11/05/2020
  • CBCT en las jornadas Odontológicas de AEOS y Schmidt on the road 15/04/2019
  • Curso en el colegio de odontólogos y estomatólogos de Madrid 13/02/2019

Clínica Ruiz

Calle Cobián nº2, 1º dcha.
Vilagarcia de Arousa
36600 Pontevedra
Tlf./Fax: +34 986 507 765
Atención previa cita, salvo urgencias.
info@clinicaruiz.es

© 2026 Clínica dental Manuel Ruiz. Inscripción de Registro Sanitario C-36-000412 - Aviso legal - Política de privacidad- Política de cookies

Política de cookies

Utilizamos cookies propias y de terceros para realizar el análisis de la navegación de los usuarios y mejorar nuestros servicios. Si continúa navegando, consideramos que acepta su uso. Puede obtener más información, o bien conocer cómo cambiar la configuración, pulsando en más información

ACEPTAR
Aviso de cookies