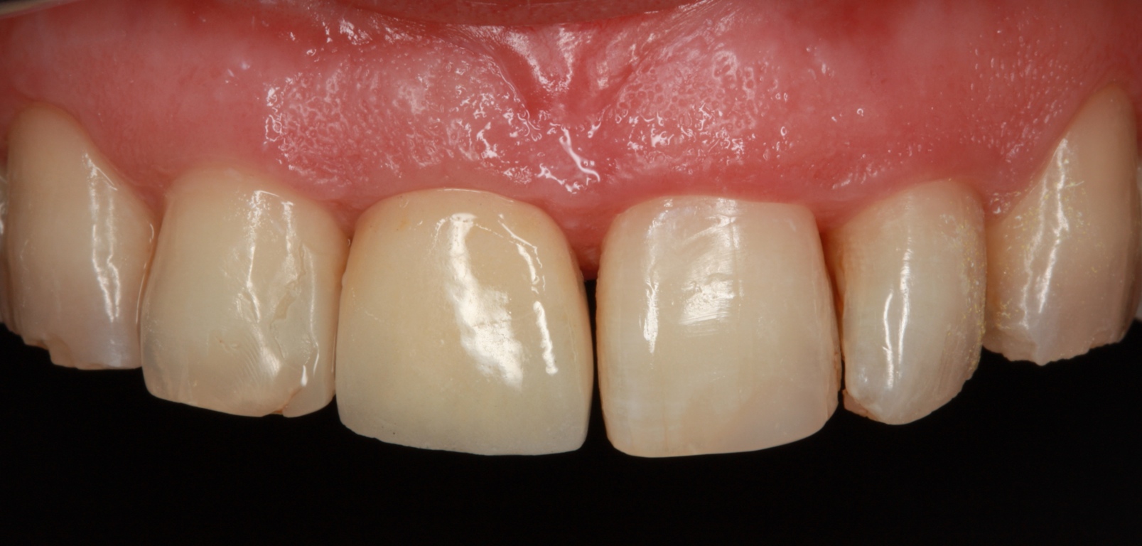
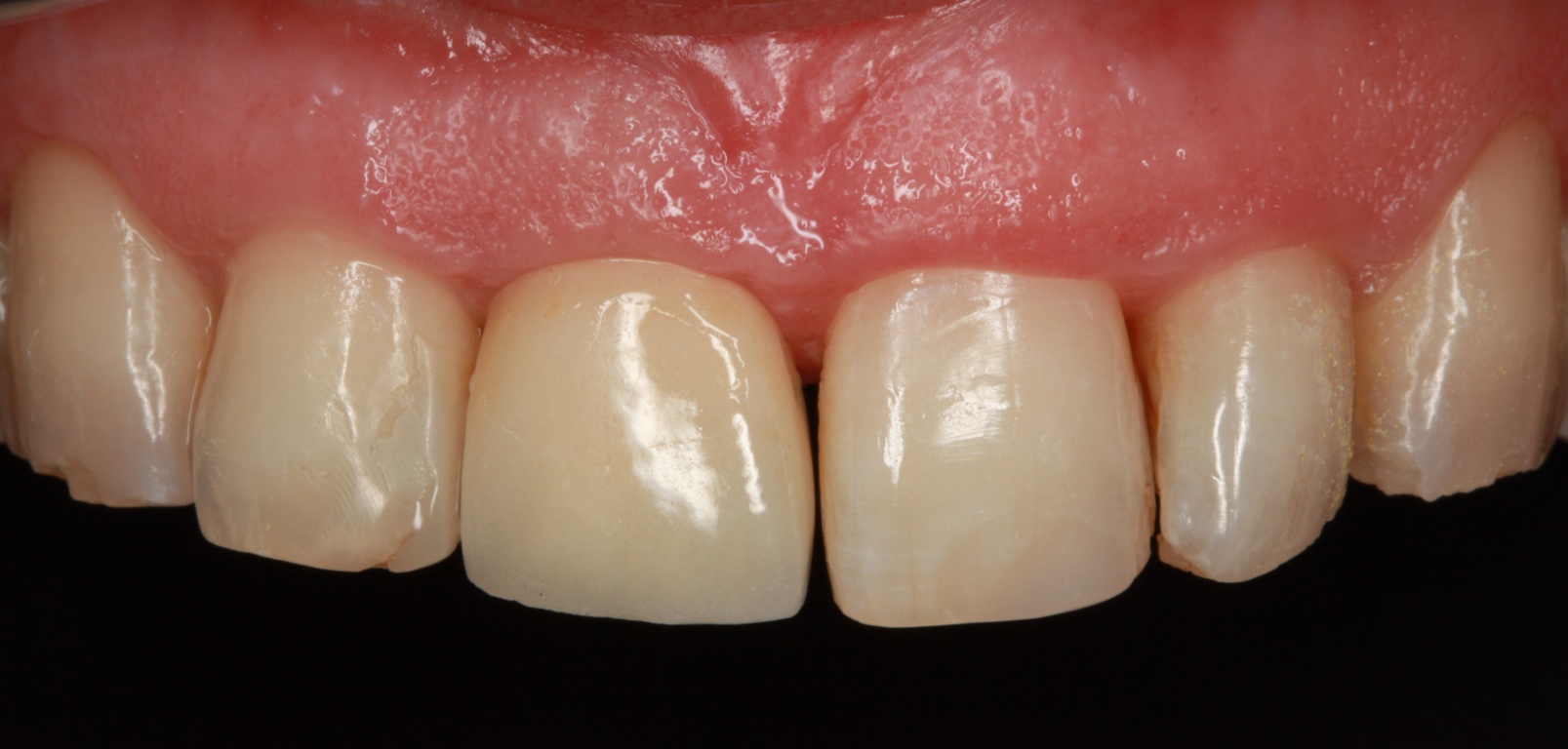
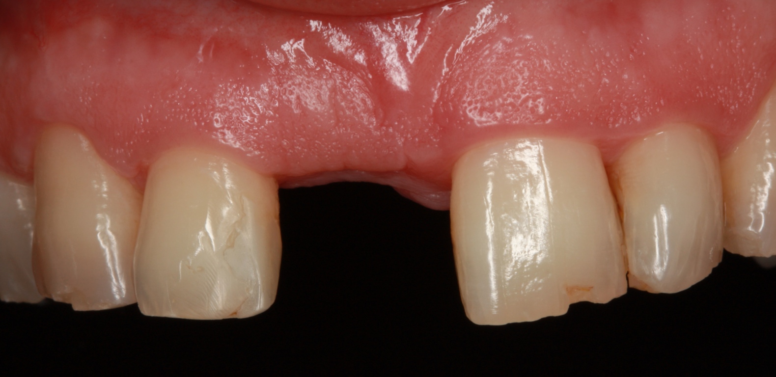
Implantes
Los implantes osteointegrados son una solución para reponer dientes perdidos en la boca por traumatismos, caries o problema periodontal.
El implante sustituye a la raiz de un diente natural, y suele dejarse alrededor de 3 meses una vez colocado para completar su osteointegración antes de atornillar sobre el un pilar y la corona definitiva.
En ocasiones realizamos una carga inmediata, es decir colocamos la corona justo después de colocar el implante en casos con unas condiciones ideales de calidad ósea y ausencia de inflamación e infección.
La cirugía guiada es otra técnica novedosa que con una planificación en un TAC nos permite colocar implantes sin necesidad de realizar incisiones y sin dar ningún punto de sutura, lo que mejora enormemente el post-operatorio.
Existen gran cantidad marcas de implantes en el mercado de diferente calidad; esta es una parte importante en el exito en implantología, además de factores como la formación, la planificación correcta y elección del caso.
En nuestra clinica colocamos implantes de Strauman hace 14 años, una marca referente en calidad con más de 40 años en el mercado.
Más noticias sobre IMPLANTES en nuestro BLOG
Pincha aquí



